Niños
¿Qué es el test de Bayley y para qué sirve?
¿Cómo crear una estructura de aprendizaje para niños que potencie su desarrollo y disciplina?
¿Cómo elegir una buena guardería?
¿Cuándo deben dejar de usar pañales los niños?
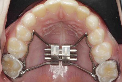
¿Cuáles son los tipos de ortodoncia que hay para niños?
¿Cómo hacer seguimiento de sus hijos a través del móvil?
¿Cómo dormir a un bebe?
¿Qué son las Camas Montessori y ¿Qué beneficios aportan?
4 Recursos (juegos) para el análisis morfológico en lengua
¿Qué hacer en caso de bullying?
10 fichas para trabajar la grafomotricidad en educación infantil
10 de noviembre, Día Mundial de la Infancia para alertar sobre los problemas de nuestros menores